Υψηλή Αισθητική – αλλά με υψηλές τεχνικές απαιτήσεις
![]() |
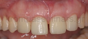
Αρχική κατάσταση της ασθενούς από φωτογραφία με το κινητό της, την οποία μας έφερε αφού είχε κάνει τις πρώτες όψεις σε άλλο ιατρείο. |
![]() |
Είχαν τοποθετηθεί στην ασθενή τέσσερις κεραμικές όψεις με πολύ κακή εφαρμογή στα όρια, με τραχιά επιφάνεια της πορσελάνης και με υπολλείματα ρήτινώδους κονίας προσκολλημένα παντού με ενωμένα τα 11 και 12. Στην ασθενή δεν άρεσε το σχήμα, το χρώμα, το διάστημα, το περίγραμμα, η έλειψη διαφάνειας και φυσικότητας και η αδρή και ακαλαίσθητη επιφανειακή διαμόρφωση.
|
![]() |
Μετά από αισθητικό διαγνωστικό κέρωμα, έγινε ενδοστοματικό mock-up, το οποίο αφού τροποποιήθηκε σύμφωνα με τις επιθυμίες της και εγκρίθηκε από την ασθενή, αφαιρέθηκαν οι παλιές όψεις με ένα κοχλιάριο, διότι είχε γίνει αναίτια υπερβολική παρασκευή με αποτέλεσμα εκτεταμένη αποκάλυψη της οδοντίνης. Τοποθετήθηκε νέο mock-up με LUXATEMP και οι παρασκευές έγιναν με οδηγό το επιθυμητό σχήμα των δοντιών. Τα όρια τελειοποιήθηκαν με την χρήση μικροσκοπίου ZEISS Pro Ergo.
|
![]() |
Στο εργαστήριο με οδηγό αποτύπωμα αλγινικού από το τροποποιημένο mock-up, φωτογραφίες, προσωπικό τόξο, αποτυπώματα με σιλικόνη προσθήκης και καταγραφή της σύγκλεισης, κατασκευάστηκαν τέσσερις πρεσσαριστές όψεις e-max της IVOCLAR VIVADENT με τεχνική layering.
|
![]() |
Οι κεραμικές όψεις δοκιμάστηκαν και εγκρίθηκαν από την ασθενή, αδροποιήθηκαν για ένα λεπτό με ULTRA ETCH της ULTRA DENT, υδροφθορικό οξύ 9% και σιλανοποιήθηκαν, συγκολλήθηλαν με VARIOLINK VENEER CLEAR και SYNTAC. Το αποτέλεσμα ικανοποίησε πλήρως τις προσδοκίες της ασθενούς, αισθητικά, λειτουργικά και βιολογικά. Πιστεύω ότι οι όψεις πορσελάνης αποτελούν την απόλυτη αισθητική οδοντιατρική όμως έχουν πολύ υψηλές απαιτήσεις από τον οδοντρίατρο και τον κεραμίστα. Όλες αυτές οι γνώσεις και η εμπειρία αναλύονται διεξοδικά στα πρακτικά σεμινάρια που παρουσιάζω για ολοκεραμικές όψεις.
|




